Galerie der Bilder des Monats

Hier sind alle Bilder des Monats 

Mai 2026: Misleading acantholysis: a pitfall mimicking high-grade anogenital lesions!

Presence of cells that often appear basal and parabasal, rounded in shape, with slightly irregular nuclei, occasionally nucleolated, showing heterogeneous chromatin and dense eosinophilic cytoplasm with a keratotic appearance; presence of dyskeratotic cells and numerous anucleate cornified squames. This appearance may mimic a high-grade squamous cell lesion, hence the importance of a clinical-cytological correlation, taking into account the patient’s history of acantholytic dyskeratotic vulvar lesion in order to avoid overinterpretation.

Photo by Lucie Kaczmarek, Aurigen cytology laboratory, Lausanne

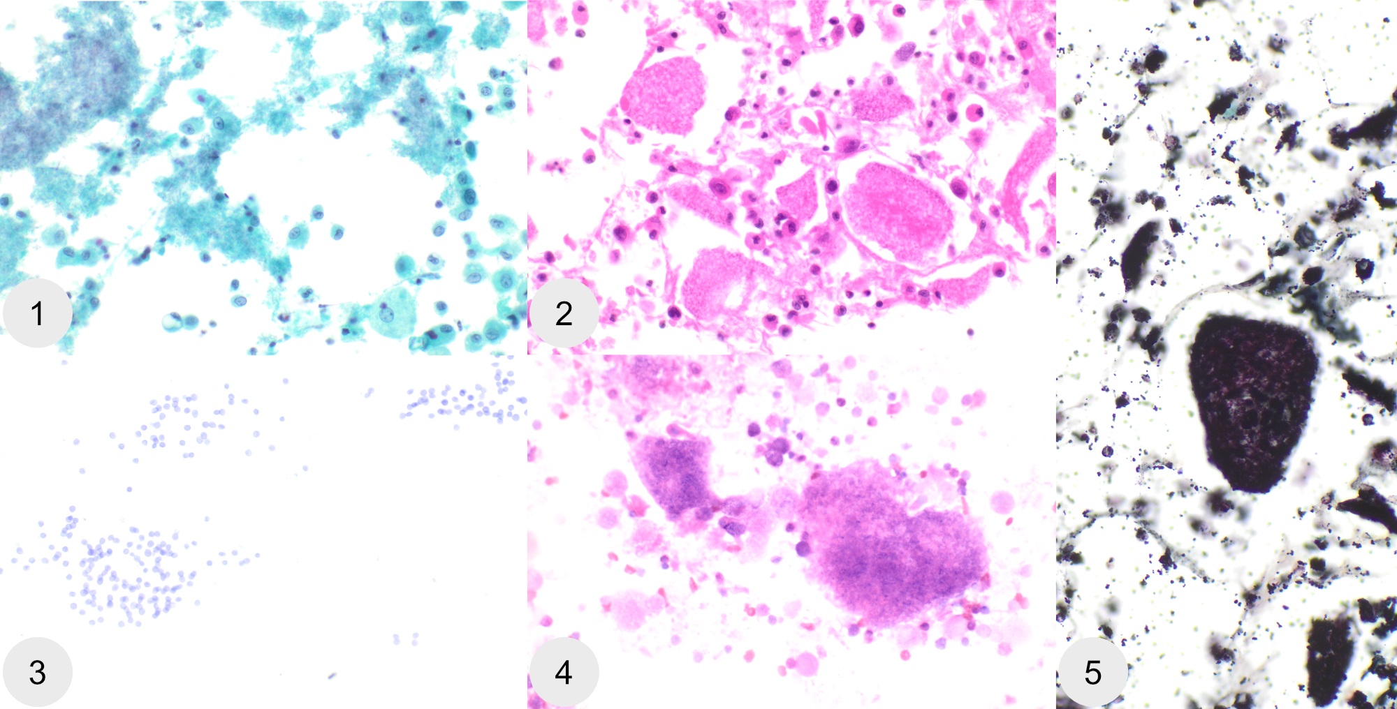
April 2026: The Many Faces of Pneumocystis jirovecii (BAL)

1. Upper left: PAP, 400x (smear)
2. Upper middle: MGG, 400x (smear)
3. Lower left: Toluidine blue, 400x (smear)
4. Lower right: HE, 400x (cell block)
5. Right: GMC, 400x (cell block)

Bild von Verónica Cabezas, Kantonsspital Graubünden

März 2026: Synoviale Chondromatose in einer Kniegelenkspunktion (M, 26 jg.)

Die synoviale Chondromatose ist eine seltene, gutartige Erkrankung, bei der sich Synovialzellen in knorpelbildende Zellen umwandeln. Dies führt zu multiplen freien Knorpelkörpern im Gelenk. Meist ist das Kniegelenk von Männern zwischen 30 und 50 Jahren betroffen. Symptome sind Schmerzen, Schwellungen und Gelenkblockaden.

Bild von Lukas Bubendorf, Universitätsspital Basel

Februar 2026: Curschmann Spirale im Bronchialsekret eines Patienten mit COPD

Curschmann Spiralen bilden sich bei Sekretionsstörung und Viskositätssteigerung des Bronchialsekrets, z.B. bei chronischer Bronchitis, Asthma bronchiale und anderen Erkrankungen mit vermehrter Schleimproduktion.

Bild von Tatjana Vlajnic, Universitätsspital Basel 

Januar 2026: Ein zytologisches Kennzeichen des Fibroadenoms

Das Fibroadenom ist der häufigste gutartige Mammatumor. Zytologisch zeigen sich monomorphe duktale Epithelzellen mit teilweise leicht vergrößerten Kernen und schmalem, homogenem Zytoplasma. Randständig sind Myoepithelzellen nachweisbar. Das Vorkommen zahlreicher bipolarer Nacktkerne gilt als pathognomonisch.

Bild von Verónica Cabezas, Kantonsspital Graubünden